Close
The Houston Group
01.
Home
02.
About
About us
Meet the team
Our vision
03.
General Dentistry
04.
Cosmetic Dentistry
05.
Orthodontics
06.
Dental Implants
07.
Advanced Dentistry
08.
Facial Aesthetics
09.
Digital Dentistry
10.
Smile gallery
11.
Fees
Private fees
Patient plan
Denplan finance
Membership
12.
CPD education courses
13.
Patient Feedback Form
14.
Testimonials
15.
Referrals
16.
Blog
17.
Contact us
Contact Us
Weston
Ham Green
Clevedon
Nailsea
Contact Us
Weston
Ham Green
Clevedon
Nailsea
01934 910 869
01934 622 824
Smile gallery
Home
/
Smile gallery
FILTER BY CATEGORIES
Dental Implants
Bonding
Invisalign®
Crowns
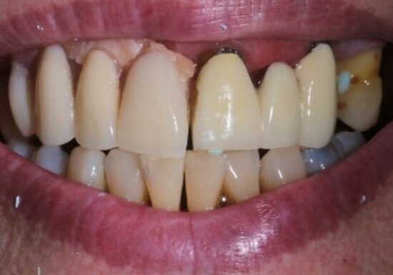
Before
After
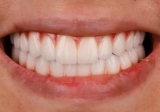
Case 4 – Dental Implants
LEARN MORE
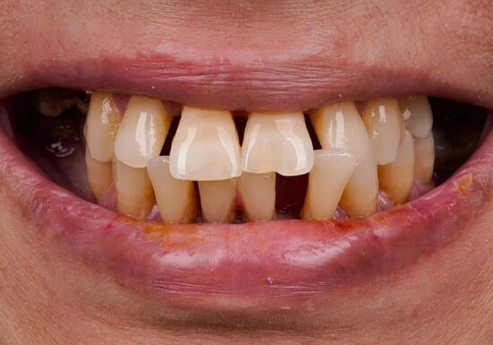
Before
After
Case 5 – Dental Implants
LEARN MORE
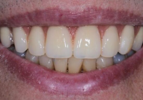
Before
After
Case 1 – Crowns
LEARN MORE
Back
1
2
Dental Treatment Finder™
Your dental concerns
Book An Appointment
Straighten my Teeth
Replace Missing Teeth
Fix my Worn Teeth
Fix Gaps Between my Teeth
Fix my Chipped Teeth
Fix my Broken Teeth
Have Whiter Teeth
Fix my Crooked/Crowded Teeth
Have a Perfect Smile
Replace my Crowns
Replace my Veneers
Replace my Silver Fillings
SCHEDULE YOUR CONSULTATION TODAY
Book Consultation
Get In Touch
Notice: JavaScript is required for this content.
01934 910 869
01934 622 824
Contact Us
Meet the team
General Dentistry
Cosmetic Dentistry
Orthodontics
Dental Implants
Advanced Dentistry
Facial Aesthetics
Digital Dentistry
Invisalign®
D A & C Houston & Associates
160 – 166 & 172 Milton Road
Weston-Super-Mare
North Somerset, BS23 2YG
01934 910 870
/
910869
View Practice
View Cqc
Smile & Face Dental Practice
75 Macrae Road, Eden Business Park
Ham Green
North Somerset, BS20 0DD
(01275) 373497
View Practice
View Cqc
Grendon Lodge Dental Practice
22 St. John’s Road
Clevedon, North Somerset
BS21 7TG
012 7534 2183
View Practice
View Cqc
The Houston Group @ Nailsea
12 Clevedon Road, Nailsea
North Somerset
BS48 1EH
012 7586 6359
View Practice
View Cqc